
El juanete, médicamente llamado hallux valgus, es una deformidad de la parte delantera del pie que afecta principalmente al dedo gordo. Ocurre cuando el dedo gordo se va inclinando hacia los otros dedos y el hueso que está justo detrás se desplaza hacia el lado interno del pie. Este movimiento desigual crea un bulto visible y palpable en el borde interno del pie, que puede inflamarse, enrojecerse y causar dolor al caminar o al usar calzado.
![[Img #37269]](https://infonortedigital.com/upload/images/03_2026/7350_juanete02.jpg)
¿Qué ocurre dentro del pie?
En un pie sin alteraciones, los huesos, ligamentos y tendones que forman la articulación del dedo gordo mantienen ese dedo alineado hacia delante, permitiendo que el pie apoye y se impulse correctamente al caminar.
Cuando se desarrolla un juanete:
-
El hueso largo del pie se desplaza hacia dentro.
-
El dedo gordo se inclina hacia los demás dedos.
-
Los tejidos que rodean la articulación se tensan y desalinean.
-
La forma de pisar puede cambiar con el tiempo.
Este cambio en la mecánica del pie puede provocar molestias en la planta, rigidez y dolor al caminar, y favorecer la aparición de durezas o deformidades en los otros dedos.
![[Img #37268]](https://infonortedigital.com/upload/images/03_2026/1912_juanete03.jpg)
¿Por qué aparecen los juanetes?
Los juanetes tienen causas múltiples que suelen actuar juntas:
Factores personales
-
Predisposición familiar.
-
Tipo de pie (como pie plano).
-
Articulaciones más flexibles de lo normal.
Factores externos
-
Uso frecuente de zapatos estrechos o de tacón alto que comprimen la parte delantera del pie.
-
Cargas repetidas sobre el antepié.
Los juanetes son más frecuentes en mujeres y aumentan con la edad.
![[Img #37270]](https://infonortedigital.com/upload/images/03_2026/5890_juanete04.jpg)
¿Cuánta gente tiene juanetes?
Los juanetes son muy comunes. Según estudios de múltiples poblaciones, alrededor de una de cada cinco personas (aproximadamente el 19 %) tiene hallux valgus en algún grado.
Este porcentaje varía según la edad y el sexo:
-
Menores de 20 años: menos común (alrededor del 11 %).
-
Adultos de 20 a 60 años: alrededor del 12 %.
-
Personas mayores de 60 años: alrededor del 23 %.
-
En general, las mujeres presentan juanetes con más frecuencia que los hombres (alrededor del 24 % frente al 11 %).
En algunos estudios clínicos específicos, la prevalencia en adultos ha llegado a estimarse también alrededor de 20-35 % de la población, especialmente si se considera leve o moderado.
En resumen, los juanetes no son raros, afectan a una parte relevante de la población, sobre todo a medida que se envejece y especialmente en mujeres.
![[Img #37271]](https://infonortedigital.com/upload/images/03_2026/193_juanete05.jpg)
¿Qué síntomas producen?
Al inicio pueden ser apenas visibles sin dolor importante. Con el tiempo pueden aparecer:
-
Dolor local en el bulto del juanete.
-
Enrojecimiento e inflamación.
-
Durezas por el roce con el calzado.
-
Dificultad para encontrar zapatos cómodos.
-
Cambios en otros dedos por presión adicional.
En fases más avanzadas, la articulación puede volverse rígida, con dolor incluso al caminar distancias cortas.
![[Img #37272]](https://infonortedigital.com/upload/images/03_2026/4427_juanete06.jpg)
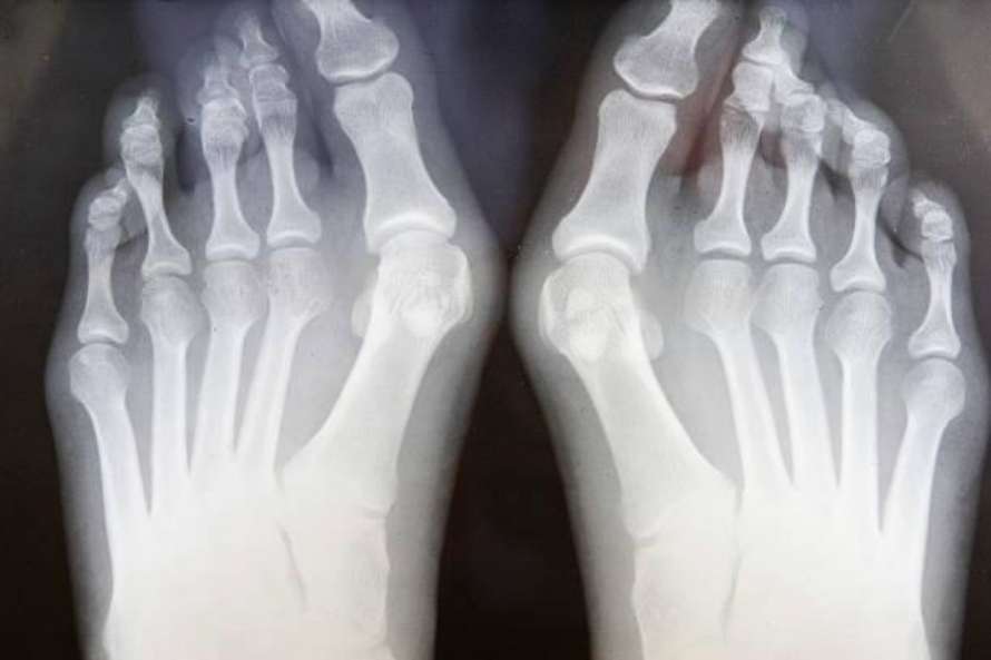
¿Cómo se diagnostica?
El diagnóstico se realiza con:
-
Inspección clínica: observación del pie al estar de pie y al caminar.
-
Radiografía de pie en carga: permite medir la desviación y clasificar si es leve, moderado o severo, lo cual orienta el tratamiento.
![[Img #37274]](https://infonortedigital.com/upload/images/03_2026/8715_juanete07.jpg)
¿Cómo se trata?
Tratamiento conservador (sin cirugía)
Indicado en juanetes leves o moderados, especialmente si el dolor no es muy intenso:
-
Plantillas personalizadas que mejoran el apoyo del pie.
-
Separadores o férulas blandas entre los dedos.
-
Uso de calzado adecuado con puntera amplia y tacón bajo.
-
Cuidado de durezas y callosidades.
-
Ejercicios para fortalecer los músculos del antepié.
Estas medidas no quitan el juanete, pero sí alivian el dolor y pueden frenar su progresión.
Tratamiento quirúrgico
Se plantea cuando:
-
El dolor es constante y limita las actividades diarias.
-
El juanete es muy marcado o afecta la función del pie.
La cirugía busca recolocar los huesos y lograr una mejor alineación, con el objetivo de mejorar la función y reducir el dolor a largo plazo.
Conclusión
El juanete es una deformación frecuente del pie que, más allá de la molestia estética, puede afectar la forma de caminar y la comodidad al usar calzado. Dado que es común en muchas personas, especialmente en mayores de 60 años y en mujeres, su detección y tratamiento tempranos ayudan a controlar el dolor, prevenir complicaciones y mantener una buena calidad de vida.
Norberto Herrera, Podólogo especialista.
































Normas de participación
Esta es la opinión de los lectores, no la de este medio.
Nos reservamos el derecho a eliminar los comentarios inapropiados.
La participación implica que ha leído y acepta las Normas de Participación y Política de Privacidad
Normas de Participación
Política de privacidad
Por seguridad guardamos tu IP
216.73.216.111